
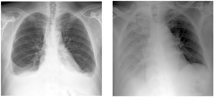
PadChest 是一个有标注的大型胸部 X 射线数据集,用于进行医学图像的自动探索。该数据集包括了 2009 至 2017 年间,圣胡安医院(西班牙)6.7 万位患者的 160 万多幅胸部 X 射线图像,涵盖了 6 个不同位置的视角,以及与图像获取与患者统计相关的补充信息。

PadChest 是一个有标注的大型胸部 X 射线数据集,用于进行医学图像的自动探索。该数据集包括了 2009 至 2017 年间,圣胡安医院(西班牙)6.7 万位患者的 160 万多幅胸部 X 射线图像,涵盖了 6 个不同位置的视角,以及与图像获取与患者统计相关的补充信息。

PadChest 是一个有标注的大型胸部 X 射线数据集,用于进行医学图像的自动探索。该数据集包括了 2009 至 2017 年间,圣胡安医院(西班牙)6.7 万位患者的 160 万多幅胸部 X 射线图像,涵盖了 6 个不同位置的视角,以及与图像获取与患者统计相关的补充信息。