Command Palette
Search for a command to run...
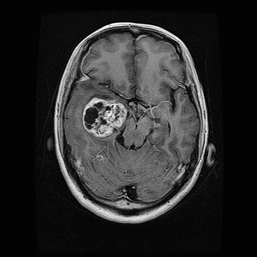
Brain Tumor 脑肿瘤数据集
该数据集是一个脑肿瘤 MRI 分割与分类数据集,旨在为脑肿瘤的医学影像分析提供高质量数据支撑,适用于脑肿瘤分割和分类任务。数据包含约 5,000 张 MRI 切片,其中:
- 无肿瘤(No Tumor):约 1,200 例
- 神经胶质瘤(Glioma):约 1,300 例
- 脑膜瘤(Meningioma):约 1,250 例
- 垂体瘤(Pituitary):约 1,250 例
- 带分割掩码数据:约 2,700 例

BrainTumor.torrent
Seeding 1Downloading 0Completed 99Total Downloads 325
Build AI with AI
From idea to launch — accelerate your AI development with free AI co-coding, out-of-the-box environment and best price of GPUs.
AI Co-coding
Ready-to-use GPUs
Best Pricing
HyperAI Newsletters
订阅我们的最新资讯
我们会在北京时间 每周一的上午九点 向您的邮箱投递本周内的最新更新
邮件发送服务由 MailChimp 提供