Command Palette
Search for a command to run...
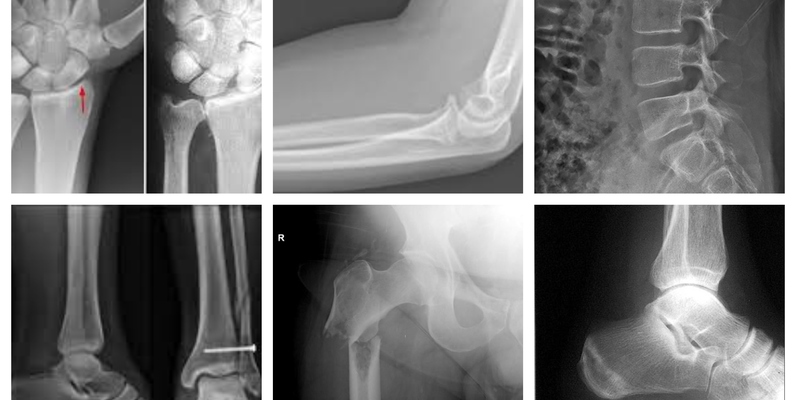
多区域骨折 X 射线数据集

该数据集包含骨折和非骨折的 X 射线图像,涵盖所有解剖身体区域,包括下肢、上肢、腰椎、臀部、膝盖等。数据集分为训练、测试和验证文件夹,每个文件夹包含骨折和非骨折的射线图像,共 10,580 张放射图像(X 射线)数据。
fracture-multi-region-x-ray.torrent
做种 1正在下载 0已完成 243总下载次数 530
Search for a command to run...

该数据集包含骨折和非骨折的 X 射线图像,涵盖所有解剖身体区域,包括下肢、上肢、腰椎、臀部、膝盖等。数据集分为训练、测试和验证文件夹,每个文件夹包含骨折和非骨折的射线图像,共 10,580 张放射图像(X 射线)数据。